Blog
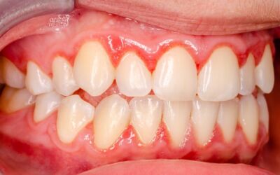
How To Keep Gums Healthy
Practicing proper oral hygiene is a must for healthy gums. The right routine will help prevent and treat gum disease, and you must brush your teeth properly, floss and choose the right toothpaste. Gum disease is a serious condition that can lead to tooth loss, but...
How to Cure Gingivitis in a Week
A high percentage of people over the age of 30 have some form of gingivitis, and while this may sound concerning, there is good news involved – gingivitis is the early stage of gum disease, and it can be cured by practicing good oral hygiene. Visiting your dentist...
Is Tooth Sensitivity After a Dental Cleaning Normal?
Dental cleanings are not only important, they are a must. Routine cleanings at a dental clinic must be part of your oral hygiene routine because dentists and oral hygienists use special tools and techniques to remove plaque and clean your teeth. They will remove...
How to Improve Your Oral Health
Your oral health must be prioritized because it is directly linked to your overall health, and if you do not take good care of it, you may develop health conditions like heart disease and respiratory problems in addition to an unattractive smile and unsightly teeth. ...
How to Remove Stains from Your Teeth
Aging, a poor oral hygiene routine, trauma, some medications, and certain foods and beverages can all cause tooth discoloration, and you may start to notice stains on your teeth. This can cause you to smile less, and you may feel self-conscious while attending social...
What to Eat After a Tooth Extraction
Contrary to what many people think, you do not have to starve after a tooth extraction because you can consume soft foods to eliminate hunger and get all of the nutrients you need. It is possible to eat after having a tooth removed, and a dentist near you in Shelburne...
Common Causes of Tooth Discoloration
Teeth discoloration is very common, and many people will dislike the colour of their teeth at some point or another. If you don’t like the way your smile looks and think it’s because of the colour of your teeth, you can discuss teeth whitening treatment with your...
Can Dental Cleanings Damage Your Teeth?
Professional dental cleanings play a very important role in keeping your teeth healthy. Brushing and flossing daily is a must, but even with a proper oral hygiene routine, you will still need to visit your dentist for regular cleanings. Some people avoid these...
Does Dental Cleaning Hurt?
Dental cleanings are a must. No matter how much you fear the dentist or how nervous you feel about sitting in a dental chair, you need to schedule regular dental cleanings to protect your gums and teeth. Your oral health is directly linked to your overall health, and...
Home Remedies for Tooth Infection
Tooth infections can be very painful and you will have to look for a dentist near you in Shelburne for treatment. Your dentist will diagnose the problem and provide the best treatment but if you are unable to get to a dentist right away, there are a few home remedies...
How to Get Rid of Cavities
Cavities are caused by bacteria on the surface of teeth and are tiny holes in the enamel. The acids in plaque will remove minerals from teeth enamel, and this erosion will cause tiny holes. Eating sticky and sugary foods that stick to teeth, having a dry mouth, and a...
Crowns vs Veneers: Which Option is Right for You?
Dental crowns and veneers are similar in their design process, procedure and final appearance, although there are differences and knowing this information will help you understand why one may work better in some situations. Veneers This option consists of a thin...
Get in Touch with Us!
There are a few ways to get in touch with our team to schedule an appointment, ask questions, or just to chat!
Call Us
Quickest way to
Book or Chat!
Book Appointment Online
Easy Online Scheduling!
Email Us
Visit Us
ON L0N 1S3












